wbrum.org
HOME
About
Contact
Disclaimer
Privacy
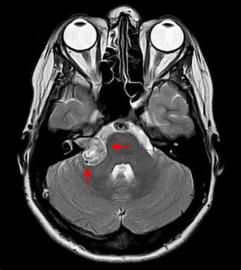
Damage to the auditory nerve
Oct 13, 2025
by wbrum.org
11
views