wbrum.org
HOME
About
Contact
Disclaimer
Privacy
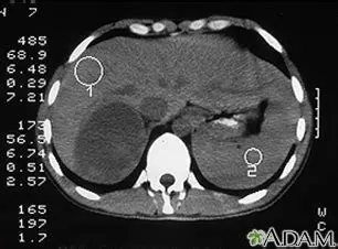
Cushing syndrome due to adrenal tumor
Oct 13, 2025
by wbrum.org
116
views