wbrum.org
HOME
About
Contact
Disclaimer
Privacy
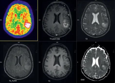
Benefits of MRI in Diagnosing Brain Tumors
Oct 13, 2025
by wbrum.org
129
views